پرسش و پاسخ
پرسش و پاسخ رایگان پزشکی و تبادل نظر بین کاربران ایزو ویزیت
search-normal
question mark

صفحات رشد باز یا بسته

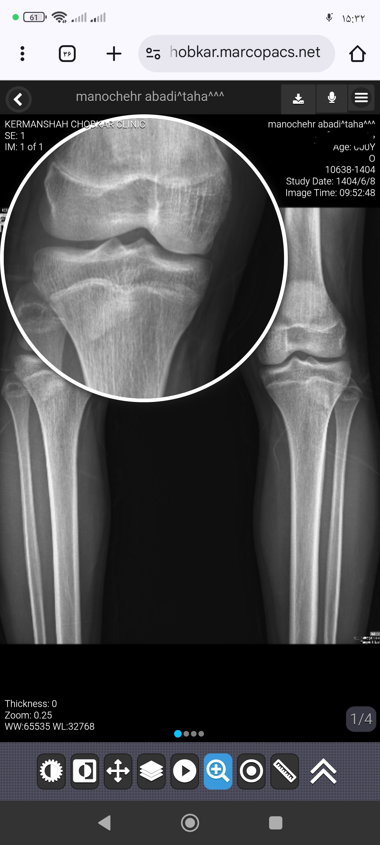
رضا سن : 18 وزن : 62 قد : 175
mesasge text 1 نظر
eye blue 68 بازدید
calendar 1404/09/04
bookmark

سلام درود بر شما در این عکس صفحات رشد بازه یا نه یا چقد دیگه امکان رشد وجود داره ممنون از شما و این عکس یک هفته پیش گرفتم

instant-consulant-from-doc-ad
profile

پشتیبان سیستم ایزوویزیت

سلام رضای عزیز. موردی که شما سوال فرمودید نیاز به ثبت ویزیت داره. لطفا ویزیت آنلاین با ارتوپد بگیرید و عکس را برای پزشک در صفحه ویزیت ارسال کنید.

consulant
consulant
online visit

آخرین سوال کاربران

question-mark

مصرف آمپول سوماتروپین

سلام دکتر تجويز کرده بود سوما سيناتروپين هرشب 22 کليک مصرف کردم الان اکسير ميخوام مصرف کنم باتوجه به غلظت و.. و همان تاثير گذاري رو داشته باشه چند کليک بايد مصرف کنم همان 22 کليک ؟
سيناتروپين 10ميلي گرم
اکسير 15.9 ميلي‌گرم

4 بازدید

1 پاسخ

مشاهده کامل left arrow
question-mark

ازمایش‌بتا معمولی بعد از ای وی اف

سلام وقت بخیر من روز دوازدهم انتقال جنبن بلاست ازمایش بتا معمولی دادم شد6.4ایا امکان مثبت شدن هست؟علائمم زیاد شدن اب دهان ،تیر کشیدن سمت چپ زیر شکم ،درد خیلی خفیف پریودی وبهم ریختگی معده

9 بازدید

1 پاسخ

دارای پاسخ متخصص

مشاهده کامل left arrow
question-mark

زائده سفت و ریز کنار بواسیر

سلام خاهش میکنم کمکم کنید.من باکره ام ولی نامزد دارم بغل بواسیر داخلی ای ک دارم کنار رگ فقط یدونه زائده خیلی ریز شن مانند خس ک ن رنگ داره ن برامدس فقط با لمس میتونم متوجهش بشم اما سرش سفته وقتی میخام بکنمش دردم میگره نمیدونم دلیلش برا بواسیره یا خودش ایا زگیله؟۳ هفته زیر نظر دارمش تغبری نکرده

8 بازدید

2 پاسخ

دارای پاسخ متخصص

مشاهده کامل left arrow
question-mark

کم کاری تیروئید لب مرز

سلام. پسرم ۷ سالش تو یک ماه ۳ بار آزمایش تیروئید دادم که تقریبا لب مرز بوده . لازم دارو مصرف کنه؟ قدش خیلی کوتاه هست وزنش ۱۶ کیلو. اگر لازم چه دوزی؟

7 بازدید

1 پاسخ

دارای پاسخ متخصص

مشاهده کامل left arrow
question-mark

آیا میشود بعداز قطع قرص ایزوسورباید10 مجدداً شروع

سلام قرص های مادرم لوزارتان 25 کارودیلول 6/25 آسپرین 80 است بدلیل کاهش فشارخون ایزوسورباید10 قطع گردید بعداز تقریباً 6ماه از قطع مجدداً فشارش به 140/80 رسیده ومیخواهم با 1/4 قرص ایزوسورباید10 شروع کنم آیا مشکلی نیست واین 1/4 موثر است البته کارودیلول را هم 1/4 میدهم میخواهم بصورت دز نگهدارنده باشد ممنون

4 بازدید

1 پاسخ

مشاهده کامل left arrow
question-mark

روشن کننده پوست عوارض و انتخاب بهترین مکمل؟

سلام من بين چندتا قرص گير کردم و نميدونم کدوم عوارض داره و کدوم نداره هرکيم يه چيزي ميگه اولي پيگما شاين دومي پيگمنتا درمکس سومي گلوتاتيون چهارمي گلوتااينفينيتي لطفا راهنماييم کنيد کدوم بهتره براي سفيد شدن صورت و بدن و عوارض ندارن

5 بازدید

1 پاسخ

مشاهده کامل left arrow
question-mark

تشخیص کبد چرب

سلام
درسونوگرافی شکم و لگن کبد اندازه نرمال و اکوپترن طبیعی است آزمایش خون ast کمی از رنج نرمال بالاتر و altنرمال هستbill tاز حد نرمال بالاتر .گاهی به طور موقت گوشه چشم زرد میشه
وهیچ گونه درد در قسمت کبد و زیر دنده وجود نداردآسیت موقت شکم .ورم پا .کاهش وزن .کم اشتهایی و خشکی پوست که با آسیت رفع شدند.تنگی نفس.احساس امکان داره کبد چرب باشه اگر احتمال داره نیاز به چه بررسی داره آزمایش cbcاپلود کردم

6 بازدید

0 پاسخ

مشاهده کامل left arrow
question-mark

عطسو سولفه برا ازمایش

سرما خوردی رو ازمایش ایا تاثیر می زاره یا نه من ۲ هفتس سولفه می کنم عطس می کنم نه زیاد خیلی کم ولی نمی دونم چه کنم جراحیه بینی دارم باید چه کنم خوب شم شما نظرتون اینه به پزشک مراجعه کنم با اب نمک اینا

7 بازدید

0 پاسخ

مشاهده کامل left arrow